【助孕流程】「代生妈妈」「代生男孩」「助妈招聘网」,助孕流程网与正规医院合作,三甲医院在职医生操作手术,医疗设备与三甲医院相同,圆梦行动精准代孕。
正在孕期的时间停止搜检是非常紧张的步调,可是正在停止产检的时间良多的人没有晓得怎样看懂检查单,究竟结果那么多的专业的术语不是大夫任谁皆没有晓得究竟是畸形仍是没有畸形。
无创DNA检测的优点:
①无创,抽取母血即可以停止该项目标检测;

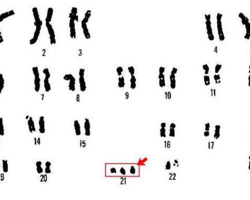
②针对临床推举筛查的21三体、18三体、13三体综合征的检出率高于唐氏筛查,可到达95%以上,假阳性率低于1%;且可停止部门微缺失微反复的筛查,属于“高等筛查”。
无创DNA检测的缺陷:
①针对除21-三体,18-三体跟13-三体综合征之外的其他染色体异常筛查准确性有限;
②价钱绝对较贵(新技巧老是如许的,等候更亲民的价钱)。
孕12周~26周,最好检测时间为孕12~22周。
因为NIPT现阶段只能作为胎儿染色体异常的筛查手腕,是以,仅有高风险跟低危险2种成果。
成果一:当成果为低危险时,并没有默示胎儿染色体相对不问题,仍有很小的能够呈现漏筛能够,也就是仍有很小的胎儿染色体异常能够,借须要联合前期B超搜检等手腕进一步消除胎儿异常。
若是胎儿B超等搜检发明与胎儿染色体异常能够相关的超声目标,不管NIPT的成果是高风险仍是低危险,皆应停止进一步的遗传征询及响应的产前诊断。
成果两:当成果为高风险时,应发起孕妈妈停止响应的介入性产前诊断(如羊水穿刺、脐静脉穿刺等);
留神:高风险只是筛查成果,并没有默示胎儿必然存在染色体异常,是以,不克不及仅依据NIPT高风险的成果便做出停止怀胎的发起跟处置惩罚,很有能够错杀无辜哟!
1.对已行唐氏筛查而间接做无创DNA检测的孕妈妈,应该正在孕15~20+6周经由过程B超筛查胎儿神经管缺陷(如:脑积水、脊柱裂)。
2.严禁将无创DNA检测用于非医学须要的胎儿性别判定。
Tips:
实在,孕妈妈外周血中存在的游离胎盘DNA的量少少,而那极少量的胎盘游离DNA能被临床用于筛查胎儿染色体异常,有赖于一本武功秘笈的破译就是新一代高通量测序技巧。因为破译不久,借正在不休修炼与摸索中,是以该技巧尚有局限性,而跟着咱们摸索与修炼水平的进步,该项技巧无望给咱们带来更多地等候与欣喜。让咱们配合等候!
以上是代孕相关内容,想了解更多助孕流程,代生妈妈,代生男孩,助妈招聘网内容,请关注本站。